Hello! It’s Friday and time for a Case. This one is more sad than anything. Cancer. Wow, does it suck. And, I’m sure it has touched all of our lives in some way. Whether it was ourselves, a relative, a pet, it is always terrible. This case was no different. I always enjoyed seeing both this dog and his owner. The dog was friendly and his owner was an extremely nice young man who obviously cared very deeply for his four legged friend.
Darby (name changed for privacy) was a happy go lucky yellow lab. Aren’t they all? Labs are such nice dogs. I had been seeing him as a client for years. Routine exams, vaccines, the occasional ear infection, etc. But today was different. His owner had noticed that he had started limping with his left hind leg. It had been going on for a few weeks, and was pretty mild at this point. His owner thought maybe he twisted it running outside, and gave him a few weeks to see if it would resolve. After seeing the limp was continuing and gradually getting a little worse, he scheduled an exam with me.
On physical exam I saw that he was bright and alert. Nice pink gums and a good heart rate. When I asked Dad if he had been coughing at all with this limp, he said that he had not noticed any coughing (more on that later……). As I examined his limbs I noticed he did have a noticeable limp in his left hind leg. As I palpated from hip to toes and performed range of motion exercises with him, I noticed a slight swelling at his knee, and resistance to full range of motion at the knee. At this time a few things were on my mind……ACL disease, arthritis due to age, or possible bone cancer.
I asked Darby’s owner if I could take an x-ray and he definitely agreed that he wanted one that day. So, off we went. Darby was a wonderful boy in x-ray as he calmly laid on his side for us to take a picture of his leg. What I saw on his picture immediately gave me a pit in my stomach. On the lower part of his femur (bone from the hip to the knee) do you see the swelling of the bone tissue on the right side of the bone and all of the little white spots on the left side of the bone? This was likely bone cancer. With bone cancer, the abnormal tissue will “proliferate” or grow in some areas, but also will “disintegrate” in other areas. Bone cancer is a very painful disease, hence the limp.
I shared my concerns with Darby’s owner back in the x-ray room as I showed him the picture and discussed my findings. His two options were immediate referral for amputation and chemotherapy, or continued monitoring at home with medication to keep him comfortable until it was time for euthanasia. At 11 years old, Darby’s owner chose to keep him comfortable at home until the time came to make a different decision. I felt that was very reasonable given the dog’s age. Many younger dogs can do very very well with amputation and chemotherapy if done early in the course of disease, but it is a personal decision in every case. I also asked Dad to closely monitor Darby for coughing, as bone cancer spreads to the lungs early in the course of the disease. We also discussed rechecking his x-ray every few weeks to see what the bone looked like. Below is his next x-ray from three weeks later. You can see the progression in this short amount of time.
One month passed before his next recheck x-ray. In that span of time he had been moderately comfortable on the combination of pain medications I had sent home for him. He also continued to eat and drink well and was still going for short walks.
This final x-ray below was taken a month and a half after the last x-ray. Darby’s outlook on life had dramatically changed over that span of time. He was limping more, eating less, and was not going for his daily walks anymore. This final x-ray helped Dad make the decision that it was time for Darby to cross the Rainbow Bridge. Cancer is never fair.
Darby (name changed for privacy) was a happy go lucky yellow lab. Aren’t they all? Labs are such nice dogs. I had been seeing him as a client for years. Routine exams, vaccines, the occasional ear infection, etc. But today was different. His owner had noticed that he had started limping with his left hind leg. It had been going on for a few weeks, and was pretty mild at this point. His owner thought maybe he twisted it running outside, and gave him a few weeks to see if it would resolve. After seeing the limp was continuing and gradually getting a little worse, he scheduled an exam with me.
On physical exam I saw that he was bright and alert. Nice pink gums and a good heart rate. When I asked Dad if he had been coughing at all with this limp, he said that he had not noticed any coughing (more on that later……). As I examined his limbs I noticed he did have a noticeable limp in his left hind leg. As I palpated from hip to toes and performed range of motion exercises with him, I noticed a slight swelling at his knee, and resistance to full range of motion at the knee. At this time a few things were on my mind……ACL disease, arthritis due to age, or possible bone cancer.
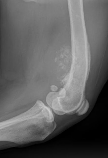
I asked Darby’s owner if I could take an x-ray and he definitely agreed that he wanted one that day. So, off we went. Darby was a wonderful boy in x-ray as he calmly laid on his side for us to take a picture of his leg. What I saw on his picture immediately gave me a pit in my stomach. On the lower part of his femur (bone from the hip to the knee) do you see the swelling of the bone tissue on the right side of the bone and all of the little white spots on the left side of the bone? This was likely bone cancer. With bone cancer, the abnormal tissue will “proliferate” or grow in some areas, but also will “disintegrate” in other areas. Bone cancer is a very painful disease, hence the limp.
I shared my concerns with Darby’s owner back in the x-ray room as I showed him the picture and discussed my findings. His two options were immediate referral for amputation and chemotherapy, or continued monitoring at home with medication to keep him comfortable until it was time for euthanasia. At 11 years old, Darby’s owner chose to keep him comfortable at home until the time came to make a different decision. I felt that was very reasonable given the dog’s age. Many younger dogs can do very very well with amputation and chemotherapy if done early in the course of disease, but it is a personal decision in every case. I also asked Dad to closely monitor Darby for coughing, as bone cancer spreads to the lungs early in the course of the disease. We also discussed rechecking his x-ray every few weeks to see what the bone looked like. Below is his next x-ray from three weeks later. You can see the progression in this short amount of time.
One month passed before his next recheck x-ray. In that span of time he had been moderately comfortable on the combination of pain medications I had sent home for him. He also continued to eat and drink well and was still going for short walks.
This final x-ray below was taken a month and a half after the last x-ray. Darby’s outlook on life had dramatically changed over that span of time. He was limping more, eating less, and was not going for his daily walks anymore. This final x-ray helped Dad make the decision that it was time for Darby to cross the Rainbow Bridge. Cancer is never fair.


Comments
Post a Comment