It’s Friday and I have another cool case for you! We all know that dog’s eat grass, right? The old tale is that dog’s eat grass when they are not feeling good, and the grass allows them to vomit to feel better. Well, that’s not always true. Many dogs eat grass just because they like it. Both of my dogs have been like this. Every walk has to include grabbing some grass as we walk by!
Today let’s meet Harvey (name changed for privacy). Harvey and his owner were regular clients of mine. He was a middle aged German Shorthair Pointer, and a very nice dog. At this particular visit, Harvey’s dad was very worried about him because he hadn’t eaten in a week. This was not like him! He lived to eat!
As always, I started with a complete physical exam. He was bright and alert, but not his usual energetic self. His gums were nice and pink, but they were dry, telling me he was getting dehydrated from not eating, and really not drinking much for those seven days. No murmur was heard when I listened to his chest, and his lungs were also clear. Dad had not reported any coughing. When I started gently palpating his abdominal organs, he tensed a bit. I didn’t feel any bulges around the area of his spleen or intestines, but he was definitely a little uncomfortable. His skin all looked normal, and he had a normal temperature as well.
I ask a number of standard questions any time a dog is not eating. Could he have gotten into anything inside the house or outside the house? Does he swallow toys, socks, underwear? Has he been vomiting? Is he still pooping? Dad could not think of anything he could have gotten into, he was not a sock or underwear eater, and he had been trying to vomit a little, but nothing was coming up. The only thing Dad could think of was that he saw him eating grass down by the water the previous week, but he always liked to eat grass.
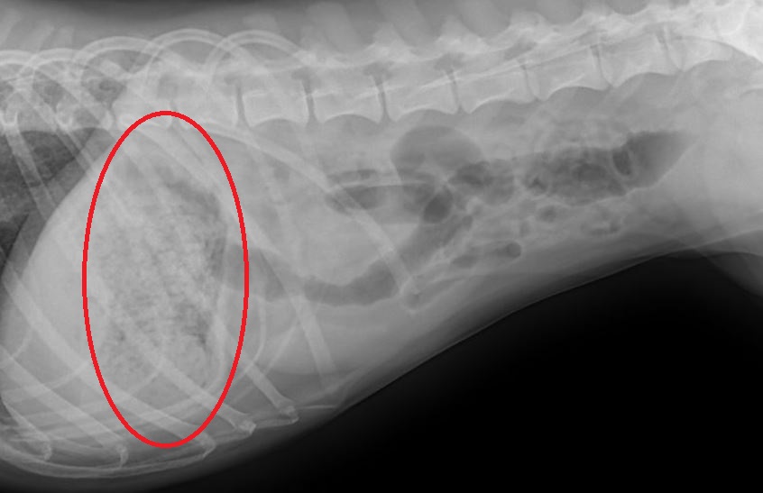
So, as always, my next recommendation was to take an abdominal x-ray to see if anything looked amiss. He had a lot of gas in his colon, and a moderate amount of gas in his small intestine. This could be pancreatitis, colitis, or maybe a foreign body. But, the pattern just didn’t look right for a foreign body obstruction; there usually is not this much gas in the colon. The thing that stood out the most to me was that his stomach was FULL. Full of what if he hadn’t eaten in 7 days?
I brought Dad back to the X-ray room and we discussed his picture together. I explained that his options were either to monitor for another day or so, or to take him to surgery. I was not a fan of the monitoring option as he had not eaten in a week already, but some owners are hopeful that the dog will still vomit up whatever is in the stomach. Dad wanted to watch him overnight for one more night. I sent him home with strict instructions that I wanted to see Harvey back the next morning if he was not remarkably improved overnight.
Sure enough, we received a call from Dad the next morning, stating that Harvey had not improved. It was time for surgery. After seeing my regularly scheduled appointments the following day, we took Harvey to surgery. As always, I look at all of the intestines from the outflow tract of the stomach all the way down to the colon where it exits the body. Yes, it was full of gas and fluid, but there was no foreign material to be found. So, I next focused on his stomach. It was very large and I could feel the foreign material inside of it. But, what was it?
After gently elevating the stomach and making an incision into it, I was shocked at what I found. Not only one, but TWO huge grass balls. These grass balls were easily 4 inches diameter EACH. They filled the entire lumen of the stomach and it was no wonder he was unable to pass them in either direction. The grass had wound so tightly around itself, that it made two perfectly round tight balls. After careful removal of both grass balls, I sutured closed his stomach, checked the rest of the abdomen, and closed him up.
Harvey's recovery from surgery was uneventful, and he spent the night at the Animal Hospital as all exploratory surgeries do. The big test would be the following afternoon. If he ate, we knew he’d do great. He was bright and alert the following morning, and much more like the Harvey we were all used to seeing. We crossed our fingers and held our breath that afternoon when we fed him a bland prescription wet food. Harvey ate like he’d never seen food before! I’m sure he was starving after having not eaten in over a week at that point.
Harvey went home that afternoon, wagging his little nubbin tail. Dad was thrilled to see the improvement overnight. He came back to see me two weeks later for suture removal and I’m happy to say that he regained the weight he’d lost and was a very happy healthy boy. From that point on, Dad kept a closer eye on him down by the water. A few blades of grass were okay, but anything beyond that………
Today let’s meet Harvey (name changed for privacy). Harvey and his owner were regular clients of mine. He was a middle aged German Shorthair Pointer, and a very nice dog. At this particular visit, Harvey’s dad was very worried about him because he hadn’t eaten in a week. This was not like him! He lived to eat!
As always, I started with a complete physical exam. He was bright and alert, but not his usual energetic self. His gums were nice and pink, but they were dry, telling me he was getting dehydrated from not eating, and really not drinking much for those seven days. No murmur was heard when I listened to his chest, and his lungs were also clear. Dad had not reported any coughing. When I started gently palpating his abdominal organs, he tensed a bit. I didn’t feel any bulges around the area of his spleen or intestines, but he was definitely a little uncomfortable. His skin all looked normal, and he had a normal temperature as well.
I ask a number of standard questions any time a dog is not eating. Could he have gotten into anything inside the house or outside the house? Does he swallow toys, socks, underwear? Has he been vomiting? Is he still pooping? Dad could not think of anything he could have gotten into, he was not a sock or underwear eater, and he had been trying to vomit a little, but nothing was coming up. The only thing Dad could think of was that he saw him eating grass down by the water the previous week, but he always liked to eat grass.
So, as always, my next recommendation was to take an abdominal x-ray to see if anything looked amiss. He had a lot of gas in his colon, and a moderate amount of gas in his small intestine. This could be pancreatitis, colitis, or maybe a foreign body. But, the pattern just didn’t look right for a foreign body obstruction; there usually is not this much gas in the colon. The thing that stood out the most to me was that his stomach was FULL. Full of what if he hadn’t eaten in 7 days?
I brought Dad back to the X-ray room and we discussed his picture together. I explained that his options were either to monitor for another day or so, or to take him to surgery. I was not a fan of the monitoring option as he had not eaten in a week already, but some owners are hopeful that the dog will still vomit up whatever is in the stomach. Dad wanted to watch him overnight for one more night. I sent him home with strict instructions that I wanted to see Harvey back the next morning if he was not remarkably improved overnight.
Sure enough, we received a call from Dad the next morning, stating that Harvey had not improved. It was time for surgery. After seeing my regularly scheduled appointments the following day, we took Harvey to surgery. As always, I look at all of the intestines from the outflow tract of the stomach all the way down to the colon where it exits the body. Yes, it was full of gas and fluid, but there was no foreign material to be found. So, I next focused on his stomach. It was very large and I could feel the foreign material inside of it. But, what was it?
After gently elevating the stomach and making an incision into it, I was shocked at what I found. Not only one, but TWO huge grass balls. These grass balls were easily 4 inches diameter EACH. They filled the entire lumen of the stomach and it was no wonder he was unable to pass them in either direction. The grass had wound so tightly around itself, that it made two perfectly round tight balls. After careful removal of both grass balls, I sutured closed his stomach, checked the rest of the abdomen, and closed him up.
Harvey's recovery from surgery was uneventful, and he spent the night at the Animal Hospital as all exploratory surgeries do. The big test would be the following afternoon. If he ate, we knew he’d do great. He was bright and alert the following morning, and much more like the Harvey we were all used to seeing. We crossed our fingers and held our breath that afternoon when we fed him a bland prescription wet food. Harvey ate like he’d never seen food before! I’m sure he was starving after having not eaten in over a week at that point.
Harvey went home that afternoon, wagging his little nubbin tail. Dad was thrilled to see the improvement overnight. He came back to see me two weeks later for suture removal and I’m happy to say that he regained the weight he’d lost and was a very happy healthy boy. From that point on, Dad kept a closer eye on him down by the water. A few blades of grass were okay, but anything beyond that………





Comments
Post a Comment